Nuestro consultorio se especializa en tratamientos de ortodoncia, para niños adolescentes y adultos

Tratamiento de Ortodoncia Invisible con la tecnica Flow Jac, en todas las edades

Con más de 15 años y muchos pacientes tratados, estamos especializados en diferentes tipos de tratamientos de ortodoncia como la ortodoncia invisible, funcional y correctiva

Ortodoncia temprana, preventiva para niños de 6 a 10 años.

Aparatos fijos o removibles para alineación dental para adolescentes de 11 a 15 años.

Descubra tratamientos de ortodoncia que se adaptan a las necesidades específicas de los adultos.

BLANQUEAMIENTO DENTAL

Ilumina tu sonrisa con nuestro tratamiento de última generación que logra resultados espectaculares y duraderos en menos tiempo

Comentarios y opiniones de nuestros clientes

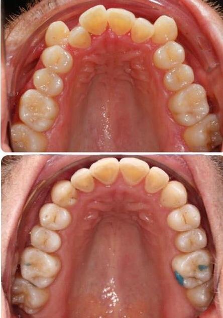
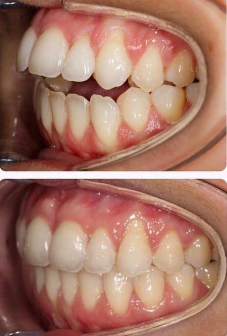
Antes y Después

Síguenos por redes​

VISÍTANOS O CONTÁCTANOS